
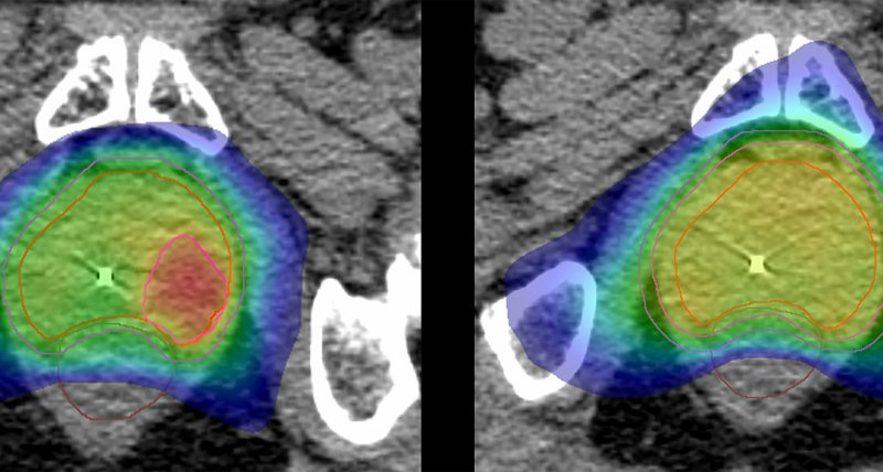
Freiburg – Prostatakrebs ist die häufigste Krebserkrankung bei Männern in Europa. Eine Arbeitsgruppe des Universitätsklinikums Freiburg arbeitet daran, jene Bereiche des Organs, in denen eine hochpräzise Bildgebung den Tumor anzeigt, mit besonderer Intensität zu bestrahlen.
Dies soll die Therapie effektiver machen und das umliegende Gewebe schonen, zum Beispiel Blase und Darm. Zudem könnte sich die Behandlungszeit deutlich verkürzen. Das Bundesministerium für Bildung und Forschung (BMBF) fördert das Vorhaben namens „HypoFocal-SBRT“ mit rund 2,8 Millionen Euro über vier Jahre mit der Option auf Verlängerung um weitere vier Jahre.
Anca Grosu, ärztliche Direktorin der Klinik für Strahlenheilkunde am Universitätsklinikum Freiburg, leitet das Projekt zusammen mit Simon Spohn, Arzt an der Klinik für Strahlenheilkunde des Universitätsklinikums Freiburg.
„Die neue Methode verspricht eine bessere Heilungsrate bei Prostatakrebs ohne vermehrte Nebenwirkungen“, hieß es aus der Arbeitsgruppe. Laut einem der Co-Projektleiter, Constantinos Zamboglou, hat das neue Verfahren das Potenzial, die Behandlungszeit von acht auf vier Wochen oder auf nur fünf Tage zu verkürzen.
Die Forschungsgruppe arbeitet eng mit verschiedenen Fachbereichen des Tumorzentrums Freiburg zusammen, zum Beispiel mit der Urologie, Radiologie, Nuklearmedizin, Pathologie und der Psychoonkologie. Außerdem beteiligt sich der Bundesverband Prostata Selbsthilfe an der Arbeit.
„Wir freuen uns sehr, dass das sehr vielversprechende und praxisrelevante Forschungsprojekt die Begutachterinnen und Begutachter überzeugen konnte. Das ist eine Bestätigung der hohen fachlichen Expertise in der onkologischen Forschung und Behandlung am Klinikum“, sagte Lutz Hein, Dekan der Medizinischen Fakultät der Universität Freiburg und Vorstandsmitglied des Universitätsklinikums Freiburg. © hil/aerzteblatt.de